阅读量:
金秋到,桂花香
中秋的脚步叮叮当秋风起,蟹脚痒,
九月圆脐,十月尖
又是一年食蟹季
大闸蟹,光是看看图就忍不住垂涎三尺。不过,螃蟹好吃壳太硬,如果不借助其它工具,直接上牙的话,那么牙齿的下场可能是这样↓
牙隐裂
小小的大闸蟹竟然有这么大的威力?是的!不信来听听微博网友的心声:

截图自新浪微博
牙齿开裂,医学专业名称是牙隐裂,又称“不全牙裂”或“牙微裂”,它是牙冠表面的一些细小、不正常的裂纹。
电镜下的牙齿表面隐裂纹
造成牙齿隐裂的原因有很多,有的是因为牙齿结构的薄弱环节,有的是因为牙尖的斜面大,也有的是因为创伤性咬合(比如:咬硬物导致的咬合创伤)。
除了用牙啃螃蟹,一些常见的用牙习惯,比如:啃冰块、咬硬糖、用牙齿开酒瓶盖等行为都有可能造成牙齿隐裂。
牙隐裂之所以称为“隐”,就是因为牙隐裂后裂纹不容易被发现。虽然隐裂后的牙齿经常会伴有“咬到某一点就牙痛”或者“没有蛀牙,但吃冷热东西却会痛”的症状,但很多人通常不会引起重视。
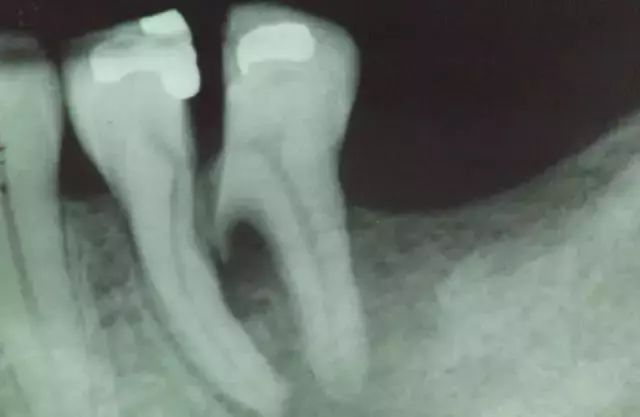
X光片下的牙隐裂
很多患者拖到牙齿彻底劈裂,或者拖到牙神经发炎,引起剧烈的疼痛后,才肯看牙医,那个时候牙齿可能已经保不住了。即使能保住,也花费不菲。
因此一旦发现了牙隐裂的苗头,应尽快去找牙医检查。越早检查,牙齿的治疗会越简单。
1、轻微牙隐裂,可以做牙冠来保护隐裂牙,防止牙齿继续裂开;
2、如已经伤害到牙神经,需要做根管治疗,再用牙冠来进行保护;
3、如整颗牙齿从牙冠到牙根都劈裂开了,就只能拔除了。
我们的牙齿并非铁齿铜牙,甚至还有点脆弱。所以中秋节到了,面对美味的大闸蟹,大家记得把工具用起来,不要跟大闸蟹“硬碰硬”哦!
另外,螃蟹性寒,过量食用可能诱发牙龈炎症。本身有牙龈炎的人群,会出现牙龈红肿、刷牙出血加重的情况,需减少食用量,同时用含抗菌成分的漱口水辅助清洁,若症状持续需到口腔科做牙周基础治疗。
张 同
主治医师
★中华口腔医学会委员
★芬兰罗慕儿童早期矫正认证医师
★时代天使隐形矫正认证医师
★奥齿泰种植系统认证医师
★士卓曼种植系统认证医师
擅长诊疗:儿童颌面部早期发育管理、儿童错颌畸形治疗、复杂智齿拔除、微创种植修复、口腔美学修复、牙体牙髓治疗